インプラント治療
インプラント症例
症例1
患者様の悩み:かみづらい
年齢:50代
性別:女性
治療費:30万円(税別)
治療でえられるメリット:周りの歯を削らなくて良い、ご自分の歯と同じようにしっかり噛める
治療前

![]()
治療後

症例2
患者様の悩み:かみづらい
年齢:30代
性別:女性
治療費:60万円(税別)
治療でえられるメリット:周りの歯を削らなくて良い、ご自分の歯と同じようにしっかり噛める
治療前

![]()
治療後

症例3
患者様の悩み:歯がぐらついて噛めない
年齢:30代
性別:男性
治療費:30万円(税別)
治療でえられるメリット:自分の歯と同じようにかめる。周りの歯を削らなくてすんだ。
治療前

![]()
治療後

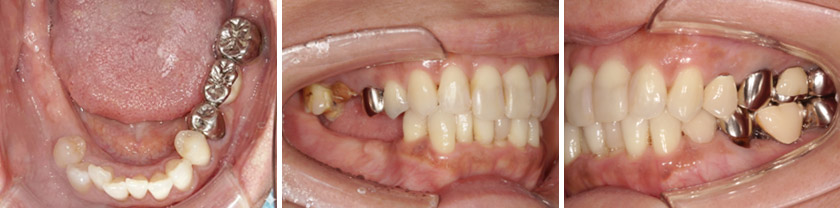
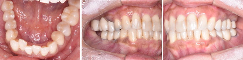
症例4
患者様の悩み:奥の方でだんだん咬めなくなってきた。全体的に白くしたい。
年齢:50代
性別:女性
治療内容:インプラント、セラミックブリッジ
治療費:130.8万円(税別)
内訳 セラミックブリッジ:18万円(税別)
インプラントブリッジ:75万円(税別)
ホワイトニング:1.8万円
治療でえられるメリット:銀歯がほぼなくなり明るい雰囲気になる。見た目がよくなる。
※今回は患者さんのご要望、抜歯の治り具合もあり長期間になりました。
治療前

![]()
治療後

治療前

![]()
治療後

こんな経験はありませんか?
- 「歯を抜いてブリッジを入れたが、健康な歯を大きく削った」
- 「歯を抜いて入れ歯を入れたが、違和感があり、
つけていることができなかった」 - 「ブリッジを入れたが、その支えとなっている歯が次第にゆれてきた」
- 「入れ歯を入れたが、取り外しが面倒で旅行に行ったときなど、
食後、人前で外すのが嫌だった」 - 「入れ歯を使っているが、歯にかかっている金属が目立つ」
従来、歯を失った場所には、このようなブリッジ、入れ歯の治療が一般的な治療であります。
しかし、非常に手軽で、すばらしい治療なのですが、その反面いくつかの欠点も持ち合わせています。
歯をほとんど削る必要なく、治療回数も少なくてすみます。
しかし、噛む能力は、どんなにうまくつくっても元あった自分の歯の30%くらいの能力しかありません。
また、食事のあと毎回きちんと外して掃除をする必要があります。
一般的に、慣れるまで、違和感が大きいです。
抜けた歯の前後の歯を削り、そこに人工の歯を入れます。
最低3本が1セットとなります。
噛む能力は、元あった自分の歯とほとんどかわりません。
最大の欠点は、前後の歯をたとえ虫歯でない健康な状態であったとしても削らなければいけないということです。
また、本来の能力を超えて過重な負担を与えることになるので結果として前後の歯の寿命を短くすることがあります。
それでは、インプラントとはどのようなものなのでしょうか?
歯の抜けた部分のあごの骨に、ねじ状のチタンの【人工歯根】を入れ、その上に人工の歯を装着する方法です。
噛む能力は、元あった自分の歯と同じくらいで、違和感もなく、毎食後の取り外す手間がありません。
さらに、前後の健康な歯を削る必要がないので、残っている歯に対して『やさしい治療法』であるといえます。
欠点は、抜歯と同程度の簡単な手術を行う必要があり、全身的に問題があり抜歯程度の手術に耐えられない人は、残念ながら治療は不可能です。
その他、健康保険はききませんので自費治療となります。



