「目立たない」矯正治療

インビザラインの治療例
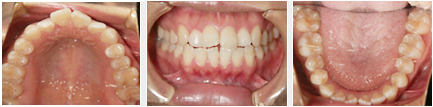
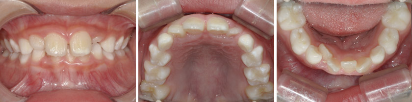
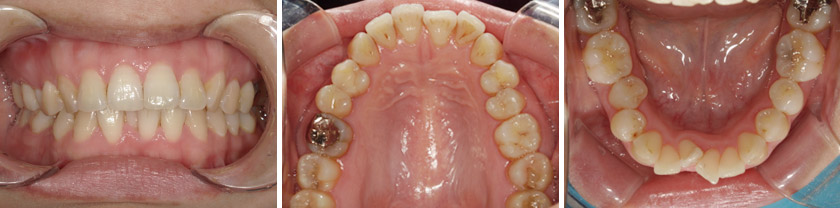
歯並びがでこぼこの症例(非抜歯)
前歯がでこぼこでかみ合っていない症例です。でこぼこの程度は少ないのでこの部分に関しては比較的矯正治療が容易ですが、前歯をかみ合わせることはインビザラインでは難しい歯の動きになりますので、治療計画の工夫が必要です。
治療前

![]()
治療後

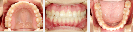
歯列に隙間がある症例(治療期間1年未満のケース)
インビザラインではこのような歯と歯の間に隙間がある歯並びを容易に矯正できます。
治療前 ![]() |
治療後 |
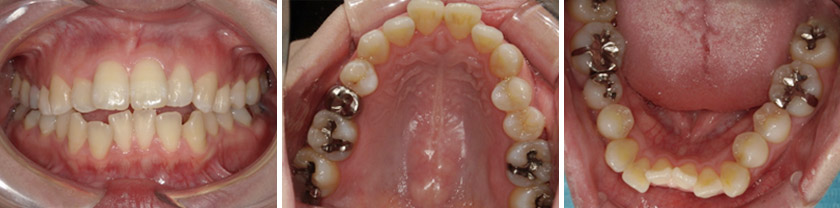
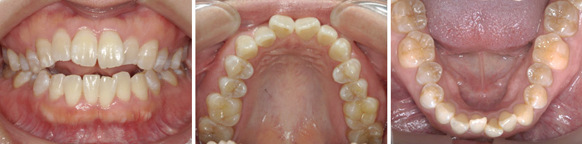
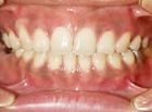
症例1
患者様の悩み:前歯でものが咬みきりにくい。
年齢:30代
性別:女性
治療費:88万円(税別)
治療でえられるメリット:前歯で咬みやすくなる。奥歯への負担が減る。発音の改善。
治療前

![]()
治療後

症例2
患者様の悩み:上の前歯が出てる。歯並びがガタガタ。
年齢:8歳
性別:男性
治療費:38万円(税別)
治療でえられるメリット:前歯で咬みやすくなる。清掃性がよくなる。
治療前

![]()
治療後

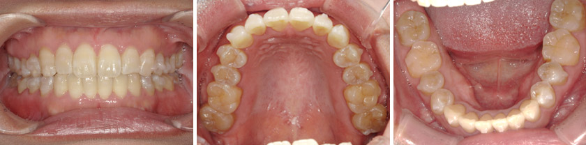
症例3
患者様の悩み:話がしにくい。
年齢:30代
性別:女性
治療費:88万円(税別)
治療でえられるメリット:前歯で咬みやすくなる。奥歯への負担が減る。発音の改善。
治療前

![]()
治療後

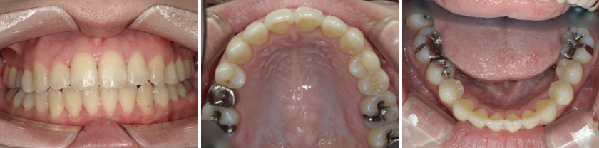
症例4
患者様の悩み:下の前歯が歯磨きしにくい。
年齢:30代
性別:女性
治療費:88万円(税別)
治療でえられるメリット:清掃性の向上。虫歯や歯周病のリスク低減。
治療前

![]()
治療後

「目立たない」マウスピース矯正 インビザライン とは?
インビザラインとは、コンピュータを用いて作製された透明なマウスピースを段階的(約10日ごと)につけ替えることで歯列を矯正していきます。
透明なマウスピース装置ですので、装着してもほとんど目立ちません。
また、必要に応じて取りはずすことができます。
治療中でも目立たないため、通常の矯正装置は目立つし、仕事で外に出る事も多いから無理!と諦めていた方におすすめしております。
インビザラインはこんな人にオススメ
インビザラインの特徴は、マウスピースの装置が透明であること。
装着しても他人に気づかれることはほとんどありません。
矯正治療中であっても、口もとを気にせずステキな笑顔でいることができます。
是非インビザライン治療をオススメしたい方
- 営業職・接客業・アナウンサーのような、人前に出る機会が多い方
- ワイヤー矯正など、固定式の装置にわずらわしさを感じる方
- 普段と同じように、おいしく食事を楽しみたい方
- 金属アレルギーのある方
- セルフコントロールができる方(*装置の取り外しができるため)
インビザライン 全世界173万人以上の治療実績
インビザラインは米国アライン・テクノロジー社(ナスダック上場会社)によって
1997年に開発され、米国やヨーロッパを中心とした世界の主要各国で販売されています。
インビザラインは、現在、世界45カ国以上の国々で提供され、これまでに300万人を超える患者様が治療を受けられています。
(2015年3月現在)。
米国アライン・テクノロジー社によれば、米国民の80%がインビザラインを認知していて、米国の人気テレビドラマにも登場しています。
米国で実施された患者アンケート
米国で実施された患者アンケートでも高い満足度を獲得しています。
また、インビザラインでの臨床報告については多数の論文があり、その多くが審査のある学術専門誌(AJO,JCOなど)で発表されています。

インビザラインの治療の流れ
インビザライン矯正の相談を無料で行っております。
歯並びを拝見させていただき、治療期間や費用などの目安についてご説明いたします。時間はたっぷり30~60分程度を予定していますので、疑問や不安に思われることは何でもご質問ください。
*未成年の方は保護者の方の同伴が必要です。
![]()
セファロ写真、パノラマレントゲン写真、iTero、口腔内写真などの資料を取ります。
それを分析して、それぞれの患者さんに合った治療方針を決めます。
![]()
マウスピース装置を着ける前の準備をします。
虫歯や歯周病がある人は、この段階で治療を行います。
抜歯は、極力行わない治療をご提案しています。
お口の中全体のクリーニングを行います。
![]()
レントゲンや歯の模型などの検査結果をもとに、「クリンチェック治療計画」と呼ばれる3Dコンピュータ画像にて、治療開始から完了までのシミュレーションを行います。
このとき、ご自分の歯がどのように動いていくのかを、立体的なアニメーション画像でご確認いただくことができます。
治療計画にご承認をいただくと、矯正の期間と、料金が、正確に決まります。
ドクターがインビザラインを発注します

歯型、治療計画、レントゲン写真などを米国のアライン社(インビザラインを設計、製造、販売している会社)にデータ送信します。
患者さまの歯型などのデータから、アライン社の担当スタッフがデジタル3Dの歯列を作製して、患者様一人ひとりに合わせたマウスピース(アライナー)が作製されます。
全てのマウスピース(平均36個~48個:治療に必要なマウスピースの数は人によって異なります)がパッケージ化され、箱に詰められて日本に送られてきます。
![]()
マウスピース装置をつけて治療開始をします。
初期は、約月1回のペースで通院していただき、装置の調整を行います。
各治療段階につきマウスピースを10日ごとに、ドクターの指示によりつけ替えていきます。
治療期間は普通1~3年程度です。
マウスピースの装着時間は1日20時間以上を目安にして下さい。
飲食や歯磨き、デンタルフロスの使用時間以外はマウスピース装着するようにしましょう。
![]()
歯並びを改善しても、舌の癖などが原因で元の状態に戻ってしまうことがあります。
きれいな歯並びを安定させるため、約1~3年、保定装置(リテーナー)をつけます。
この間、2~6ヵ月に一度通院していただき、噛み合わせや歯の状態をチェックします。





